党建文化

当前您的位置: 首页 - 党建文化 - 党群活动 - 正文

98岁老人突发脑梗!医生29分钟“打通”血管

-分享-

发布日期:2026-04-08 浏览量:

98岁的王奶奶在养老院突然出现意识不清、呼之不应的危险情况,同时伴有口角歪斜、不能言语、小便失禁等典型中风症状。幸运的是,家属第一时间识别出这些危险信号,立即拨打了120急救电话。



极速救治:多学科协作创造生命奇迹



患者送达医院后,急诊科、神经内科、超声影像科、检验科等多学科团队立即启动"脑卒中绿色通道",为这位高龄患者争取了宝贵的"黄金救治时间窗"


入院时患者神志不清、嗜睡,完全失语,右侧肢体完全瘫痪(肌力0级)。急诊头颅CT迅速排除脑出血,确诊为急性缺血性脑梗死


神经内科佘仁夏医生快速仔细评估后,认为患者发病仍在静脉溶栓的“黄金时间窗”内,但王奶奶年近百岁,面对如此高龄且危重的患者,每一步决策都关乎生死。


经充分了解既往病史及详细与家属沟通获益及风险后,取得家属同意后医疗团队果断决定进行静脉溶栓治疗。



DNT(患者到院至首剂给药时间)仅29分钟,溶栓药物“阿替普酶”缓缓注入患者体内,希望能打通堵塞血管。


攻坚克难:先进技术打通生命主干道



进一步的血管检查(CTA+CTP)发现了更严重的问题:王奶奶的左侧颈内动脉完全闭塞——这是脑梗中最凶险的类型之一,意味着大脑主要供血通道被切断,随时可能危及生命


头颈部CTA

颅脑 CTP


面对这一严峻挑战,

神经内科介入团队郭钊云医师快速评估后认为:





虽然患者高龄,但发病前身体状况相对稳定,符合急诊动脉取栓术的手术指征,没有手术禁忌症。这是一种通过微创手术直接取出堵塞血管中血栓的先进技术。


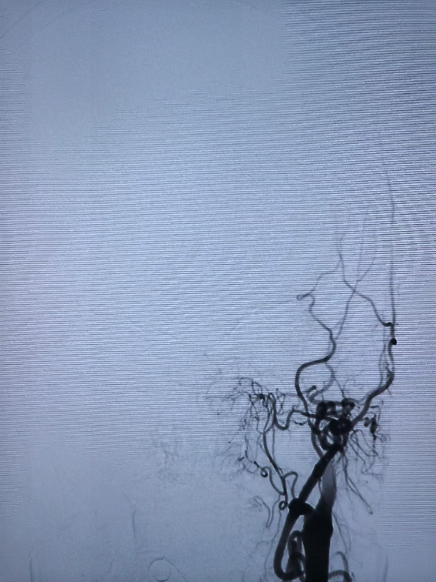
与家属充分沟通后,医疗团队决定迎难而上,为王奶奶实施了“取栓支架保护下脑动脉取栓术”,在一个小时内成功将堵塞在左侧颈内动脉及大脑中动脉的大量血栓取出,瞬间恢复了大脑供血。


急诊介入手术前后血管


重获新生:精心护理创造康复奇迹



手术成功只是第一步,术后的精心治疗和护理同样关键。医护团队为王奶奶制定了详细的康复计划:


• 密切监测脑水肿变化,精准调控治疗

• 积极抗血小板聚集、降脂稳定斑块

• 清除氧自由基、改善侧支循环

• 预防感染、促进呼吸功能恢复

• 加强肺部护理,预防坠积性肺炎

• 管理吞咽障碍,保障营养支持

• 落实基础护理,防范并发症风险

• 运用中医外治技术,促进功能康复


在团队的精心治疗和护理下,老人顺利度过危险期,意识逐渐清醒,右侧肢体无力症状也开始明显改善。


治疗前后惊人对比:


• 术前:神志不清、嗜睡,完全失语,右侧肢体瘫痪,生活完全不能自理。


• 术后一周:神志清楚,可简单对答,右侧上肢完全恢复力量,右下肢力量显著恢复,可在搀扶下行走。这位98岁老人的康复效果,远超预期。