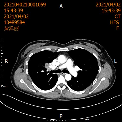
5年前,一位40岁的母亲因"咳血三月"到胸心外科就诊。CT结果显示:右上肺门区肿块,支气管粘液栓。活检确诊为非小细胞肺癌(T3NxM0)。

患者术前影像
但比肿瘤更沉重的,是她的生活:丈夫离世,10岁的孩子是她唯一的寄托,经济拮据,治疗方案需要反复权衡。握着检查单时,她红着眼说:"大夫,我想活到孩子成年。"
——那一刻,医生明白,他们要救的不只是一个器官、一位患者,更是一个家庭的未来。
面对手术与术前辅助治疗的分叉口,科室副主任刘浩副教授组织团队反复推敲:
- 直接手术? 肿瘤较大,手术风险高切除难度高。
- 先化疗? 单用传统方案可能收效有限。
- 免疫联合化疗?目前基因水平不清楚,基因检测该如何选择?且高昂的费用能否承担?
医生团队与患者反复沟通后,患者说:"怎么治疗,我都相信你们。" 这句沉甸甸的信任,也让刘浩团队下定决心:必须为她搏一个最优解!
绝境中的微光:免疫新辅助创造奇迹

遵循《国际专家共识》,刘浩团队启动了术前2周期化疗联合3周期"卡瑞利珠单抗+紫杉醇/卡铂"治疗。




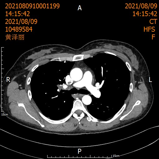
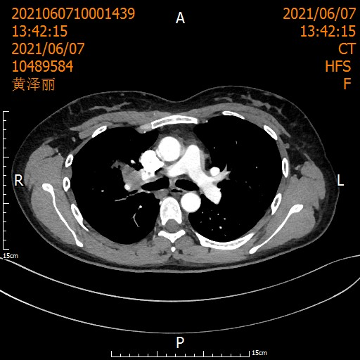
治疗后患者影像
对于治疗带来的不适,护士都握着她的手为她加油打气;每一个医嘱,医生都为她反复斟酌思量。
经过术前新辅助治疗后,医生又为她精心策划了根治性手术,团队紧密配合,顺利完成。
查房时,医生总会多问一句"孩子谁照顾?有困难跟我们说"
输液时,护士总会给予温柔且坚定的鼓励“加油!不用担心,有我们”。
当术后病理报告出炉时,所有人的激动难以言喻: 肺泡上皮增生,间质明显纤维化伴淋巴细胞浸润及淋巴滤泡形成,未见明显肿瘤细胞,切缘阴性,21枚淋巴结0转移——病理完全缓解(pCR)!
从T3到T0,从晚期到根治,这场医患携手创造的奇迹,让整个科室沸腾!

随后,刘浩又为其制定了后续的治疗方案:
◆ 术后2周期“化免”联合4周期“免疫”巩固治疗——守护来之不易的胜利
◆ 定期门诊复查——像雷达般扫描复发风险
◆ 线上"妈妈健康课堂"——教她营养康复知识
如今,已过去五年,她常带着孩子来复诊,笑着对医生说:"是你们让我重生,给了我们母子未来的希望。"
